Broken Teeth Gaps Cracks burnaby

Broken Teeth, Gaps, or Cracks? We Can Help.

Make an Appointment Today!

When small damage quietly turns into a bigger issue

Broken Teeth, Gaps, or Cracks?

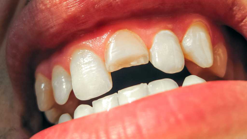
A chipped tooth. A faint crack. A gap that suddenly feels more noticeable than it used to be. These changes often seem minor at first, which is why many people put them off — mentally filed under “I’ll deal with that later.”

The challenge is that teeth are very good at hiding trouble. A small crack might not hurt. A chipped edge may only be simple and esthetic. A gap may seem harmless. But over time, these issues can weaken tooth structure, harbor bacteria, and place extra stress on neighbouring teeth.

Patients searching for broken teeth treatment in Burnaby often say the same thing:
“It didn’t bother me… until it did.”

Make an Appointment Today!

Looking beyond what you see on the surface

At My Smile Health Centre, we approach broken teeth, gaps, and cracks with a whole-body, integrative mindset. That means we don’t just fix what you see — we look at why it happened, how your bite functions, and how to restore strength, comfort, and confidence in a way that supports your long-term health.

Teeth rarely fail dramatically. More often, they spend months — sometimes years — coping with extra pressure, clenching, grinding, or bite imbalance before finally asking for attention.

Our role is to understand the full story behind the damage, not just rapidly patch things to create an unpredictable ending.

Make an Appointment Today!

Why cracked teeth are often underestimated

One of the most common questions we hear is, “If it doesn’t hurt, do I really need to fix it?”
It’s a reasonable question — and the answer depends on the type of crack and why and how it occurred in the first place.

Some cracks remain stable. Others slowly creep and deepen under everyday bite forces. Pain isn’t always the first warning sign, which is why cracks can become more complicated over time if they go unchecked.

As a cracked tooth dentist in Burnaby, we commonly see cracks linked to:
  • Grinding or clenching (often happening while you sleep and could possibly be due to a compromised airway) 
  • Old fillings weakening the surrounding tooth
  • Uneven bite forces which may or many not involve the jaw joints.
  • Accidents, sports injuries, or stress-related tension
The earlier a crack is properly assessed, the more options tend to be available.

Make an Appointment Today!

Taking a measured, thoughtful approach to repair

Not every chip or crack requires aggressive treatment. Our philosophy is simple: explore the root cause, restore what’s needed, protect what matters, and avoid unnecessary intervention.

Depending on your situation, treatment options for broken teeth, gaps, and cracks in Burnaby may include:
  • Composite bonding
    Ideal for small chips, cracks, or gaps. Tooth-coloured material is carefully shaped to blend naturally with your smile.
  • Crowns or onlays
    When a tooth needs additional strength and protection, these restorations help reinforce structure while preserving what remains.
  • Veneers
    In selected cases, veneers can address fractures or cosmetic gaps while improving symmetry and confidence.
  • Airway and Bite evaluation 
    Because repairing a tooth without addressing cause of bite stress is unlikely to be a long-term win.
We also prioritize biocompatible materials and integrative treatment planning, supporting both oral health and overall well-being.

Make an Appointment Today!

Addressing the factors that led to damage in the first place

When broken teeth or cracks keep recurring, there’s often more going on than meets the eye. Repeated micro-stress from grinding, jaw tension, or airway challenges can place teeth under constant strain.
By addressing these contributing factors, we help:
  • Reduce future stress on repaired teeth
  • Support longer-lasting restorations
  • Minimize repeat dental work
  • Improve overall comfort and function

In other words, we aim to fix this properly — not repeatedly.

Common questions we hear in our Burnaby office
“Will this be uncomfortable?”

Comfort is always a priority. Gentle techniques and modern technology help keep treatment calm and manageable.

“Do I need to deal with this now?”
Earlier care is usually simpler. Waiting tends to make teeth more persuasive.

“Will it look natural?”
Yes. If it looks like dental work, we’re not finished yet.

Restoring confidence, comfort, and function
A damaged tooth can quietly affect how you chew, smile, and feel — even if you haven’t fully noticed it yet. Addressing it thoughtfully can restore comfort, protect your long-term oral health, and bring peace of mind.

If you’re dealing with broken teeth, tooth gaps, or cracked teeth in Burnaby, a whole-body, integrative approach can make a meaningful difference.

Make an appointment today!

Appointment